ならしの動物医療センター

ならしの動物医療センター

report 症例報告

異物

2017.12.22

元気と食欲がなく、下痢や吐き気もあるとの事で、13歳のワンちゃんが来院されました。


らも異物2


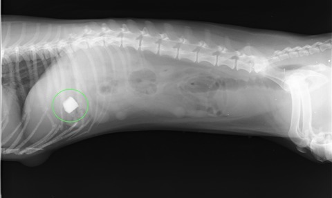
X線検査を行った所、お腹の中に白い四角い物体(緑丸の中)が確認されました。
X線検査では、金属などの硬い物質が白く写ります。


IMG_1134


そして、内視鏡検査を行ったところ…


IMG_1137


X線写真で見られた物体は1cm程の石でした。さらに薬のカラも胃の中から摘出されました。

このワンちゃんは高齢になって初めての異物誤飲だそうです。
そのため、慢性腸炎や腫瘍などの基礎疾患を調べるために内視鏡下で組織生検を行い、
現在は病理検査結果待ちつつ治療を継続しています。


今回の症例は高齢で初めての誤飲でしたが、遊んでいるうちに誤飲してしまう事や、
異物を食べる事が癖になってしまっている子もいます。
りんごなども大き過ぎると詰まってしまい具合が悪くなります。


普段からワンちゃんたちの口に入るようなものが
手の届く場所にないかなど、チェックする必要もあると思います。