ならしの動物医療センター

ならしの動物医療センター

report 症例報告

馬尾症候群

2017.12.22

昨日は腰椎の仙椎化について紹介しました。


0003 2


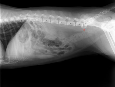
腰椎の仙椎化は様々な形態を示しますが
その不安定性から馬尾症候群および片側性股関節形成不全症を起こす事があるとされています。

このワンちゃんも第6-7腰椎間にブリッジ(赤矢印)が認められます。


0003 2


今の所、馬尾症候群の症状はありませんが
今後注意が必要です。